Let us keep you smiling...

Providing dental treatment for over 30 years...

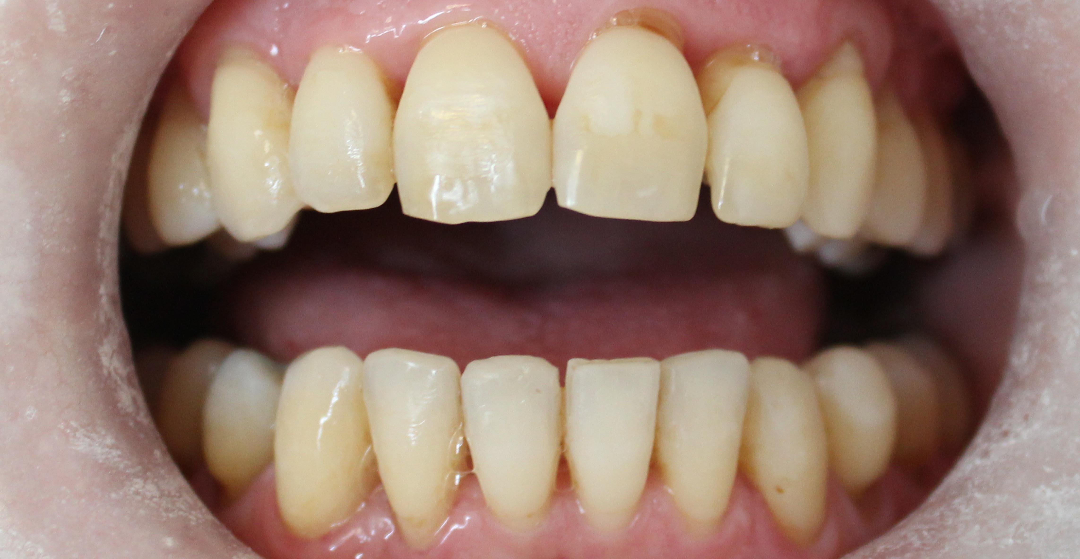
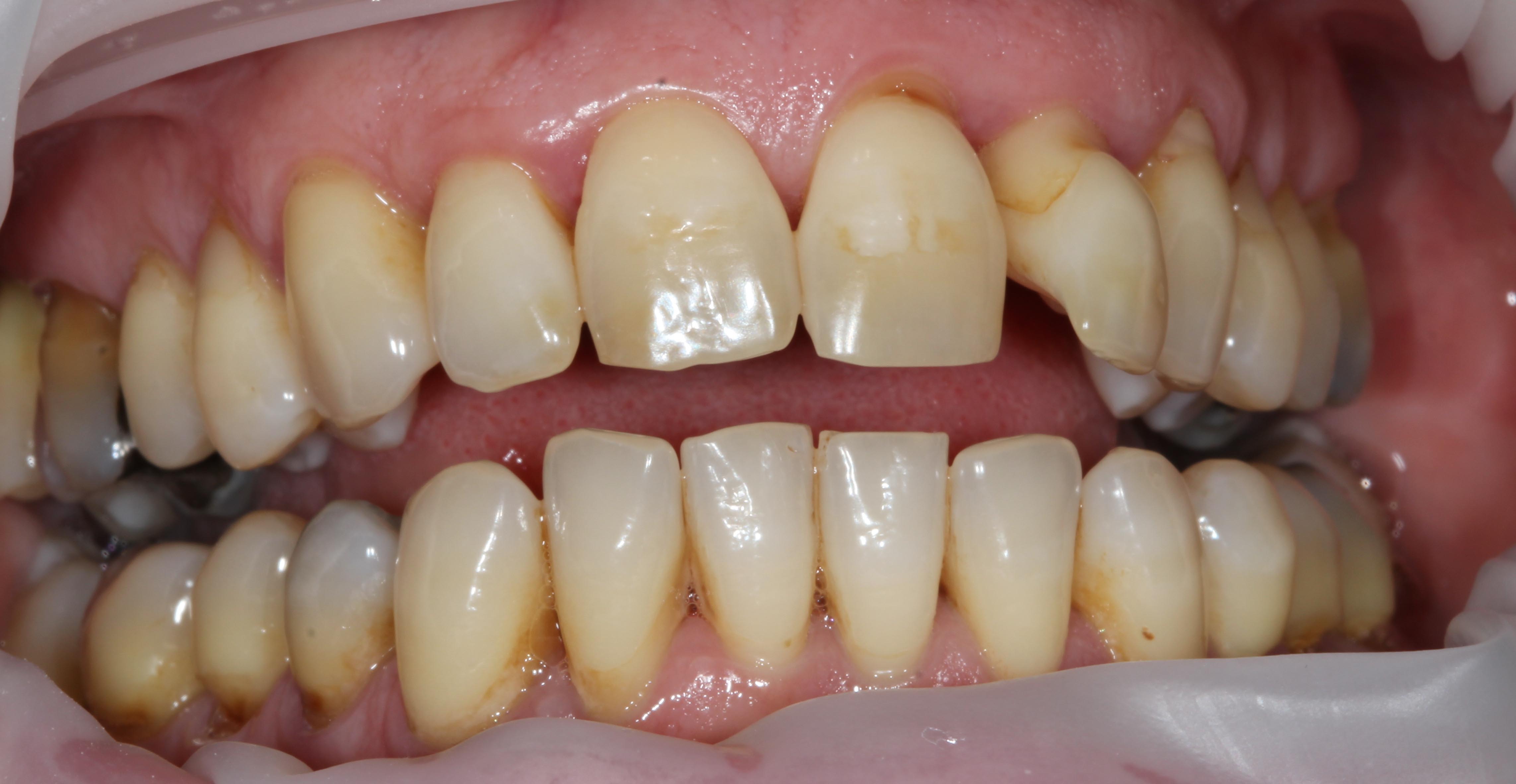
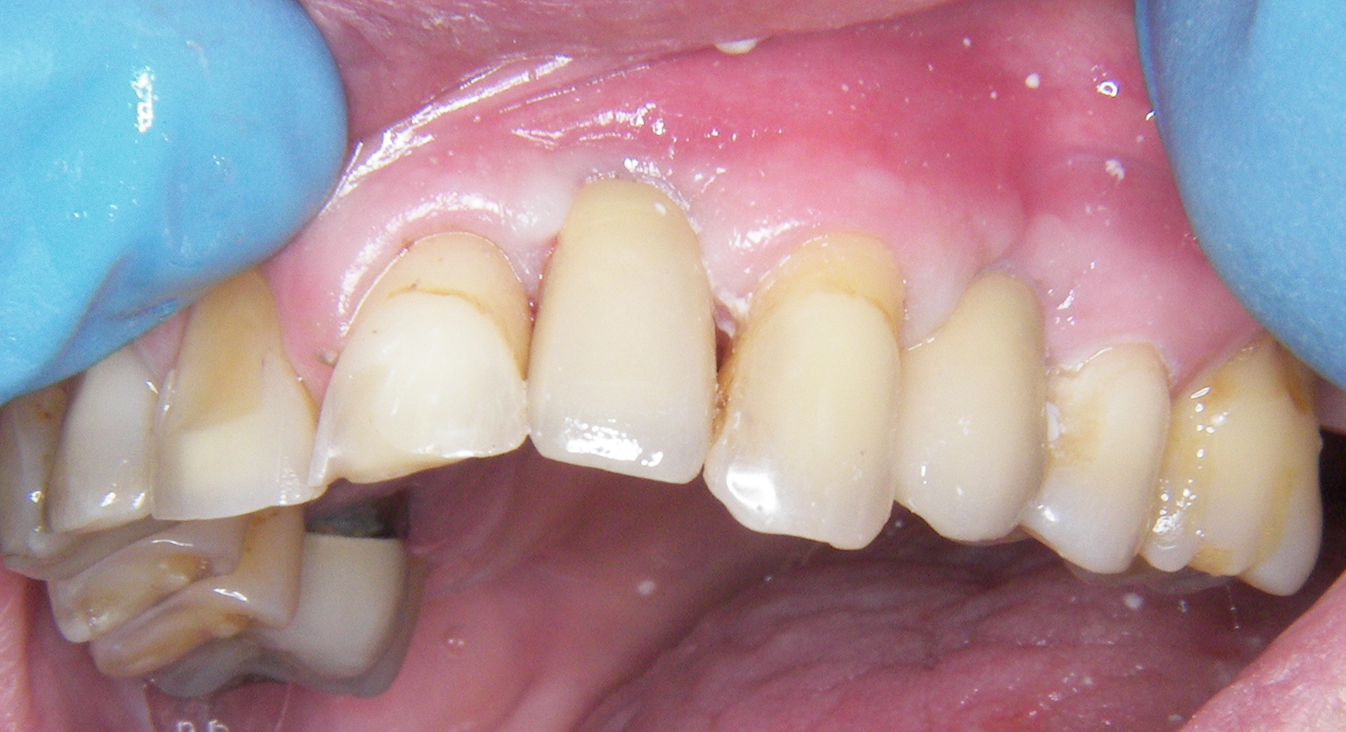
implants and crowns of upper central incisors

Before

Corner House Dental

After

Corner House Dental

upper denture

Before

Corner House Dental

After

Corner House Dental

lower denture

Before

Corner House Dental

After

Corner House Dental

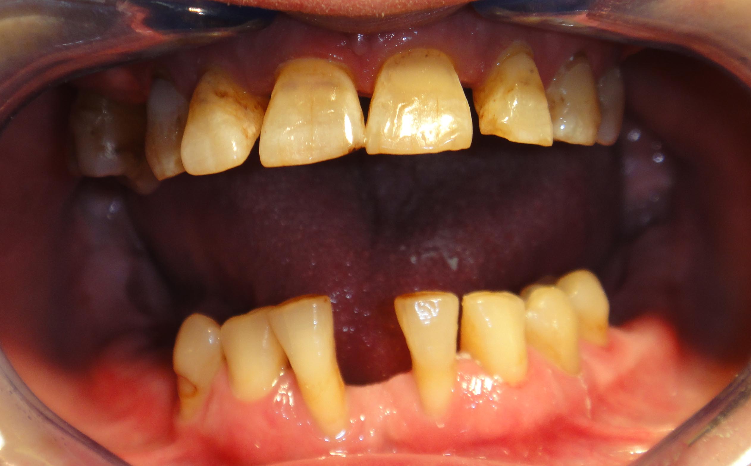
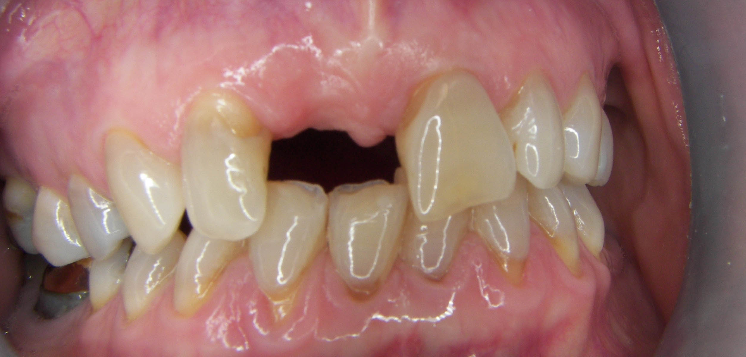
implants upper left lateral incisor and first canine

Before

Corner House Dental

After

Corner House Dental

upper and lower dentures

Before

Corner House Dental

After

Corner House Dental

upper denture

Before

Corner House Dental

After

Corner House Dental

upper right central implant

Before

Corner House Dental

After

Corner House Dental

amalgam fillings replaced with composite

Before

Corner House Dental

After

Corner House Dental

stain removal

Before

Corner House Dental

After

Corner House Dental

white crown

Before

Corner House Dental

After

Corner House Dental

stain removal

Before

Corner House Dental

After

Corner House Dental

gold crown

Before

Corner House Dental

After

Corner House Dental

invisalign and tooth whitening

Before

Corner House Dental

After

Corner House Dental